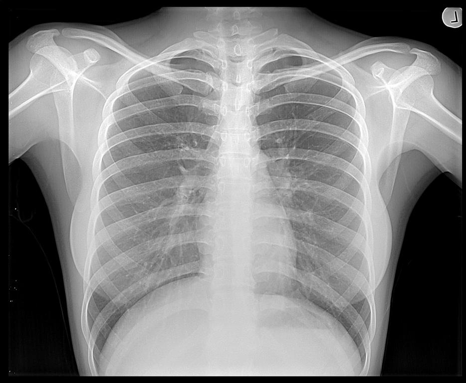
See enhanced detail of bone tissue and other materials by using existing x-ray images


Here’s a short radiology and dermatology demo video of our imaging innovation:
What We Do
Our X-ray Sense technology recovers additional visual detail of bone tissue and other material from existing (AR) analog and (DR) digital radiographs.
Why We Do It
The ability to visualize these materials in greater contrast to the surrounding bone can give specialist additional information potentially leading to better diagnostics for patients. In addition, because X-ray Sense can be recover such detail independent of the age of the radiograph and regardless of whether it was an analog or digital radiograph, historical comparison of the bone material can now be made.
Thirdly, since X-ray sense enhances the radiograph, it is possible that lower dose sessions can be conducted without loss of information.
From this
Or to X-ray build-out to this

How We Do It
A DR image or an image taken of an AR is uploaded to our SaaS (Software-as-a-Service) platform. The X-ray Sense scan showing the enhanced AR or DR image is returned.
When you see more, differently, you discover . . .




